18 年
手机商铺
公司新闻/正文
2605 人阅读发布时间:2025-07-15 15:18
蛋白质免疫印迹(Western Blot, WB)是一种常见的免疫学实验,通常包括样本制备、电泳、转膜、封闭、抗体孵育、显影等关键步骤。其中,封闭及一抗/二抗的孵育过程往往需要数小时甚至过夜,影响了实验效率。
Proteintech创新推出的速倍达™WB抗体稀释液(货号:PR20039),仅需40min即可完成封闭及抗体孵育,显著缩短实验时间;且兼具封闭功能,简化操作流程,让WB实验更快、更稳、更准!
高效省时:40min完成封闭及抗体孵育
与传统WB抗体稀释液相比,速倍达™WB抗体稀释液能在40min内完成封闭及抗体孵育,缩短80%反应时间,让WB实验立省3.5h,显著提高实验效率。
一液多用:兼具封闭及稀释一抗/二抗功能
使用传统WB抗体稀释液需要单独进行封闭,而速倍达™WB抗体稀释液可直接用于一抗/二抗稀释,无需额外进行封闭,即可获得理想的检测信号,简化了实验流程!
广泛兼容:适配磷酸化抗体/HRP/荧光体系
速倍达™WB抗体稀释液具有广泛的适用性,不仅用于常规抗体的稀释,还适配磷酸化抗体的稀释,且兼容HRP体系,可用于HRP标记的一抗/二抗,满足不同实验需求。
长效保存:抗体工作液4℃可存放3个月以上
本款稀释液含有不同分子量范围的惰性蛋白,可有效降低背景,并且保护抗体的活性,稀释好的抗体工作液,通常可以在4℃存放3个月以上。

转膜后,使用不同WB抗体稀释液的反应时间对比图
与传统稀释液相比,速倍达™WB抗体稀释液40min完成封闭及抗体孵育,WB立省3.5h,显著提高实验效率。
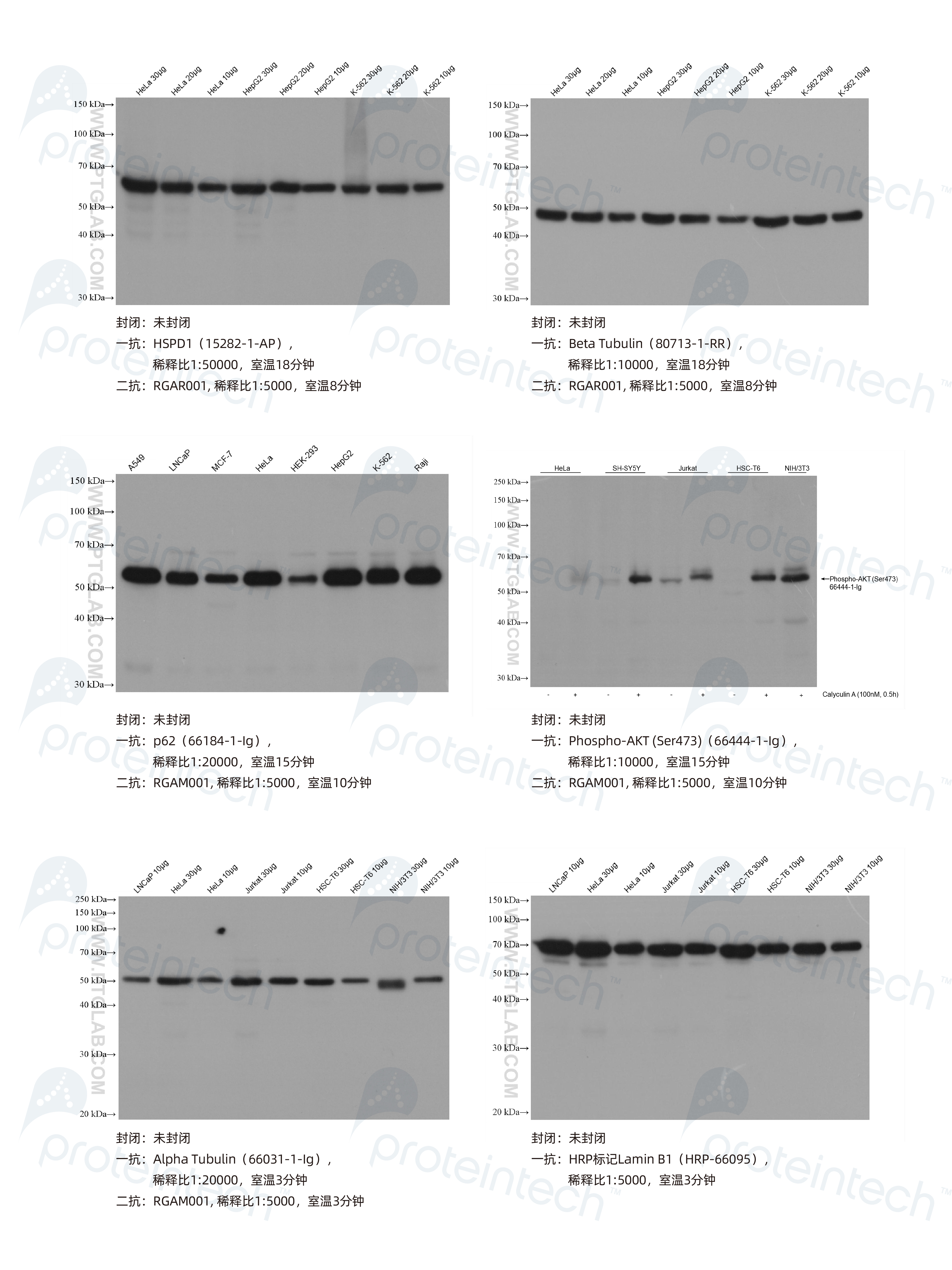
优秀数据展示

WB实验解决方案
除了速倍达™WB抗体稀释液之外,Proteintech还可提供完整的WB实验解决方案,产品覆盖从样本制备到显影检测,助您WB实验轻松又高效!
