18 年
手机商铺
公司新闻/正文
1263 人阅读发布时间:2024-10-09 13:52
在WB检测过程中出现非特异性条带,极有可能是样品制备环节出了问题
以下是样品制备环节可能造成杂带的一些因素

解析:
细胞样品的交叉污染、分化和传代次数过多,都会使蛋白的表达谱发生变化而出现杂带。 Vimentin在MCF-7中本不表达,但由于以上原因导致Vimentin抗体能在MCF-7细胞中检测到条带(杂带)。
对策:
1)确保细胞来源,最好有STR鉴定;
2)规范细胞传代的各个步骤,避免细胞的交叉污染;
3)严格控制传代次数,20代以内的细胞制样最佳。

解析:
样品制备时,我们一般会使用胰蛋白酶消化一下细胞,此时有一些目的蛋白会被剪切成短片段,而这些短片段通常会被识别,从而出现“杂带”。
对策:
针对该类样本,不要使用蛋白酶消化,可以改用刮刀收集或直接加裂解液到细胞皿或细胞瓶中直接裂解。

解析:
血液里的IgG被二抗识别而出现杂带。 IgG的重链和轻链在电泳过程中分离,且刚好该IgG与一抗同源,均被二抗识别而出现杂带; 一般重链条带在55kDa左右,轻链在25kDa左右。
对策:
细胞和组织样品,尤其是对于血含量多的组织(如:心、肝、脾、肾等),在裂解前需要充分的清洗,以完全去除血液和血清残留。

解析:
蛋白样品由于加的还原剂量不足或没加而导致蛋白还原不彻底,以二聚体或多聚体存在,形成分子量更大的杂带。
对策:
1)样品制备时添加足量的还原剂,推荐1X Loading Buffer至少加5% BME或100mM DTT;
2)-20℃或-80℃分装保存的样品在存放半年后,补加还原剂并100℃煮样5分钟后再使用。

解析:
样品在制样过程中,除去人为添加的胰蛋白酶,内源的蛋白酶也会被释放到裂解液中,靶标蛋白会在一定的程度上被降解、碎片化,形成片段更小的杂带。
对策:
1)提取过程全程保持低温,降低蛋白酶活性;
2)裂解液中加入高质量的蛋白酶抑制剂,如Proteintech蛋白酶抑制剂混合液;
3)对于组织样品,尽量取新鲜的样品制备,制备方法选用液氮研磨的方法,将样品降解可能降到最低;
4)样品制备好后及时使用,如需保存可分装成数管保存在-20℃或-80℃冰箱,避免反复冻融。

解析:
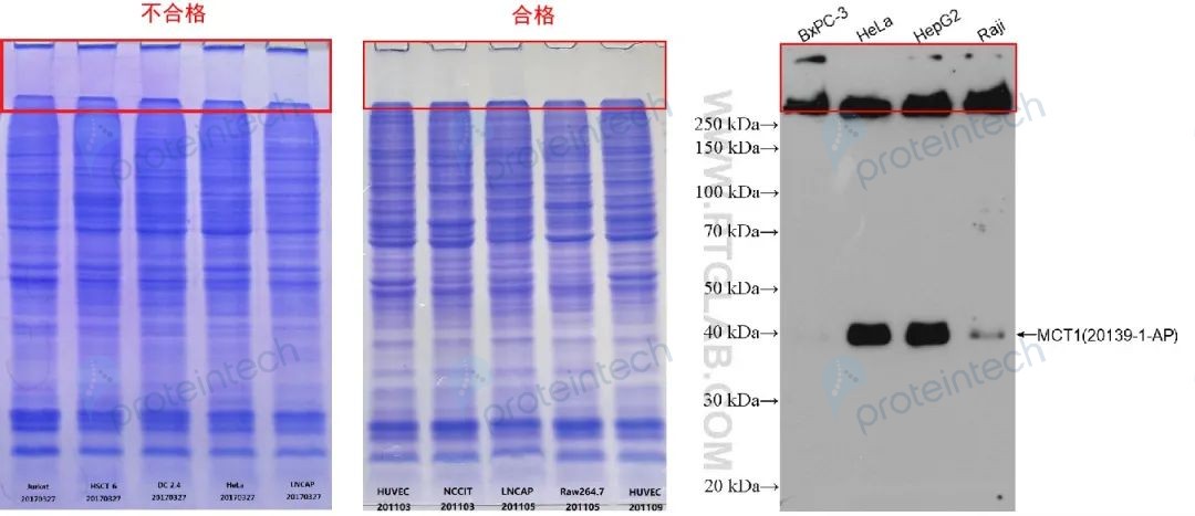
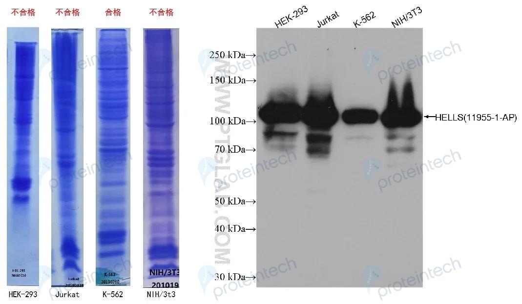
由于样本制备过程中裂解液加入量过少,导致样品裂解不充分,凝胶孔中有大颗粒残留。
对策:
样品裂解时需要加充足的裂解液,推荐裂解液与细胞体积比至少为3:1,不同组织和细胞之间需要调整。裂解完成后样品浓度保持在3-6ug/ul比较理想。

解析:
样品没有超声或超声不彻底导致核酸未被打断成小片段,从而导致样品粘度高,WB结果出现拖尾等杂带。
对策:
1)样品制备过程中对样品进行超声波处理(推荐1ml的样品使用200W超声2分钟),彻底的将核酸打断。
2)存放一段时间的样品如果出现粘稠,在使用前用超声波处理直至不再粘稠。

解析:
在WB实验中,样品上样量过多,由于部分蛋白与抗体的非特异性结合增加,也会导致杂带的出现。
对策:
实验时可以做一个样本浓度梯度上样,根据靶标抗体的表达情况选择合适的上样量
以下是Proteintech公司资深样品制备实验员总结的样品制备关键细节清单:
1)样本制备的所有步骤必须低温下进行(冷血动物样品除外),所有试剂都需提前预冷。
2)细胞来源可靠(有STR鉴定),传代次数不要过多,20代以内的细胞制样最佳。
3)收集细胞不建议使用胰蛋白酶消化,可以选择在培养瓶或培养皿内直接裂解或用细胞刮收集细胞后再裂解。
4)对于组织样品,尽量取新鲜的样品制备。尤其是消化系统相关的组织,制备推荐选用液氮研磨的方法,在不影响提取效果的前提下,可以考虑高浓度SDS等强烈的裂解液以缩短裂解时间。
5)使用预冷的PBS洗净细胞及组织中的外源蛋白和脂类,尤其是细胞培养液中的牛血清和组织块中的血液。对于血含量多的组织(如:心、肝、脾、肾等)可以使用200目的网筛将其磨成单个细胞后再清洗,清洗的PBS中需加入适量的蛋白酶抑制剂。
6)样品制备过程中需加入蛋白酶抑制剂,针对蛋白含量高或容易降解的细胞或组织可以加倍使用。用于磷酸化靶标抗体的检测还需加入磷酸酶抑制剂。
7)加入足量的裂解液不仅可以得到更多的可溶性蛋白,而且可以降低蛋白质的聚集和黏度。推荐裂解液与细胞体积比至少为3:1,不同组织和细胞之间需要调整。裂解完成后样品浓度保持在3-6ug/ul比较理想。
8)超声破碎这一步十分重要,尤其对于核蛋白的提取极有帮助。通过超声波可以将核酸打断成小片段,从而使其不能形成完整的蛋白质结合结构域而最终与蛋白分开。
9)还原剂需现用现加,量要加足,推荐每1X的蛋白上样缓冲液(1X loading buffer)中至少加5%BME或100mM DTT。存放半年以上的样品需补加还原剂煮样后再使用。
10)蛋白样品提取完成后,建议用BCA法准确测定浓度,并将样品的蛋白浓度和盐离子浓度调到一致,以确保上样量清楚可控。
11)样品最好现制现用,如需保存,可分装成数管保存在-20℃或-80℃冰箱,避免反复冻融。保存半年以上的样品,推荐在使用前补加还原剂沸水煮样后再使用。
最后,针对蛋白样本制备中可能会用到的蛋白酶抑制剂和磷酸酶抑制剂,Proteintech也可提供经过反复锤炼的优秀产品。
1. 蛋白酶抑制剂混合液(货号:PR20016)

2. 磷酸酶抑制剂混合液(货号:PR20015)

Proteintech蛋白提取试剂盒及相关试剂目录
